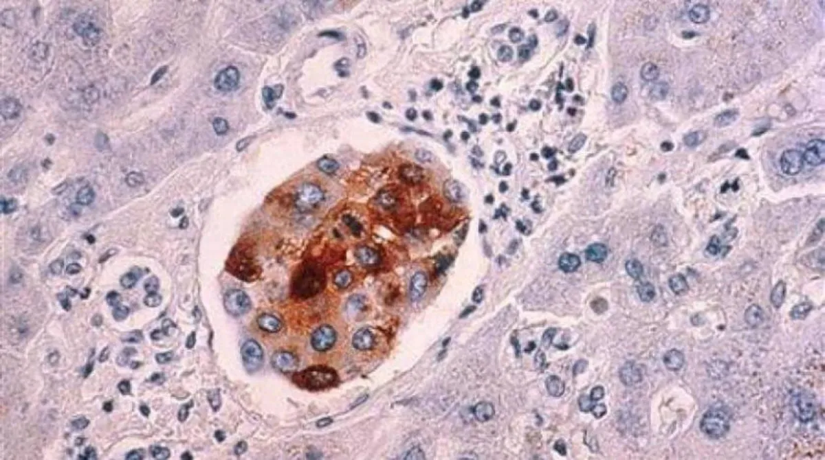
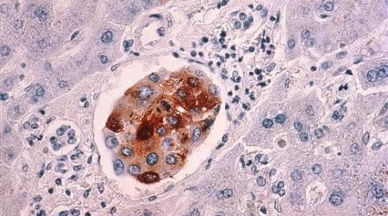
أكد عدد من العلماء أنهم عثروا على «المفتاح» الذي يمكن أن يؤدي إلى تدمير الخلايا السرطانية في الجسم، في اختراق قالوا إنه سيحدث ثورة في علاج المرض.
ووفقاً لشبكة «فوكس نيوز» الأميركية، فقد حدد العلماء في مركز السرطان الشامل بجامعة كاليفورنيا بروتيناً على مستقبلات «سي دي 95»، الموجود على السطح الخارجي للخلايا السرطانية، يمكنه «برمجة» الخلايا السرطانية بشكل يساعد على قتلها.
وأطلق فريق الدراسة على مستقبلات «سي دي 95» لقب «مستقبلات الموت» لأنها ترسل إشارة تؤدي إلى «تدمير الخلايا السرطانية ذاتياً».
وقال مؤلف الدراسة الرئيسي، الدكتور جوجيندر توشير سينغ: «الجهود السابقة لاستهداف هذا المستقبل لم تنجح. لكننا في دراستنا قمنا بتحديد البروتين الموجود على سطح هذه المستقبلات، الذي يمكن استهدافه بدقة وتنشيطه، لتدمير الخلايا السرطانية. هذا يمكن أن يحدث اختراقاً في علاج هذا المرض الخبيث».

ويأمل الخبراء أن يتم ابتكار أدوية سرطان في المستقبل تعزز نشاط مستقبلات «سي دي 95» وتحفزها على تدمير الخلايا الخبيثة.
كما لفتوا إلى أن هذه الأدوية يمكن أن تساعد المرضى الذين يتلقون بالفعل العلاج المناعي المضاد للسرطان، حيث تزيد فاعلية العلاج بشكل ملحوظ.
وأظهرت العلاجات المناعية للسرطان، مثل العلاج بالخلايا التائية، نتائج واعدة لمجموعة فرعية من المرضى، لكن فعاليتها محدودة ضد العديد من أنواع السرطان، مثل سرطانات الثدي والرئة والبروستاتا.
وأكد العلماء أنهم يخططون الآن لبدء تجارب سريرية على هذه الأدوية القائمة على استهداف مستقبلات «سي دي 95» للتأكد من فاعليتها.
