آفاق علمية
آفاق علمية
واصل هذا الصرح التعليمي مشواره في بناء الإنسان، وانتقلت المدارس من حيّها القديم إلى وسط العاصمة السعودية، متربِّعة على مساحة كبيرة في حيّ المؤتمرات بالرياض.
يقول الباحثون إن هذه التكنولوجيا مفيدة للأفراد في المناطق النائية أو ذات التحديات الاقتصادية.
قالت صحيفة «واشنطن بوست» الأميركية إن علماء نجحوا لأول مرة في تكوين فأر من جينات كائن حي وحيد الخلية.
يعكف علماء على مراقبة سلوك الحيوانات باستخدام أجهزة تعقب متطورة تُثبّت على أجسادها، وترتبط بقمر اصطناعي جديد يُطلق العام المقبل
قبل 50 عاماً ظهرت توقعات الحرب النووية والطفرة السكانية التي ستتجاوز قدرة الكوكب على إطعام سكانه.
يعتقد علماء أنّ حفرية من أقدم الحفريات على الإطلاق ربما تساعد في تفسير ظهور الديناصورات. فماذا في التفاصيل؟
لم يكن هناك إجماع كامل في «الاحتياطي الفيدرالي» عندما صوت الأسبوع الماضي لتخفيض أسعار الفائدة بمقدار نصف نقطة مئوية، حيث اعترض صانع سياسة واحد.
تمكن باحثون في جامعة كلية لندن (UCL) من تحقيق اختراق علمي جديد قد يُحدِث تحولاً كبيراً في علاج الأشخاص الذين يعانون فقدان حاسة اللمس، مثل مرضى متلازمة النفق…
في إنجاز علمي مبتكر نجح فريق من الباحثين بقيادة عالم المواد زيهاو أو من جامعة ستانفورد بتطوير تقنية تجعل أجزاء من جلد الفئران الحية شفافة.
تحول الكويكب بفعل الاصطدام إلى غبار تناثر في جميع أنحاء العالم، وما زال موجودا في طبقة طينية في العالم ترسبت في أعقاب ذاك اليوم العصيب.
يتذكر الدماغ المعلومات عن طريق ربط البيانات الجديدة بالمعلومات الموجودة ذات المعنى أو السياق المشابه، وهذا يجعل الأسماء الخاصة أصعب في التعلم.
توصّلَ علماء إلى اكتشاف مذهل في الظلام الدامس لأعماق المحيط الهادئ، مفاده بأن الأكسجين لا يأتي من الكائنات الحية بل من نوع من الحصى يحتوي على المعادن.
توازن بين الاحتياجات البشرية ومتطلبات العمل.
يسعى باحثو جامعة «بريستول» إلى دمج كاميرات صغيرة في أطراف أصابع الروبوت، ما يسمح له بالاستشعار والاستجابة للمس.
يزور لبنان باستمرار ويملك منزلاً في منطقة بكفيا. لا يعتقد أنه سيمضي فيه سنّ التقاعد. فالتوقُّف عن العمل فكرة لا تراوده أبداً.
الكذب يعد في أغلب الأحيان محاولة يلجأ إليها شخص ما بهدف خداعنا بكلماته أو بأفعاله، علماء النفس يقولون إن ثلث سكان المعمورة تقريباً يكذبون كذبات كل يوم.
ابتكر باحثون في جامعة كمبريدج طريقة رائدة لإنشاء أدوات استشعار قابلة للتكيف وصديقة للبيئة يمكن طباعتها بشكل غير محسوس على مجموعة متنوعة من الأسطح البيولوجية
توصل عدد من الباحثين أخيراً إلى اكتشاف الآليات التي تتيح لخلايا الإنسان الأولى تشكيل جنين مما يوفر معطيات جديدة عن المراحل الأولى من حياة الكائن البشري.
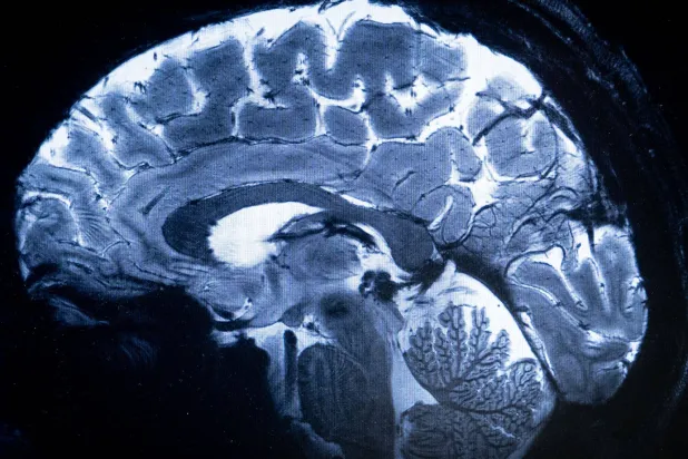
التقط أقوى جهاز تصوير بالرنين المغناطيسي في العالم، بالقُرب من باريس، صوره الأولى للدماغ البشري، ويُتوقَع أن يُتيح فهماً أكبر لوظائفه وبعض الأمراض.
حذرت مجموعة من العلماء وأطباء البيطرة من تدمير شهية فرنسا لأرجل الضفادع للطبيعة، محدقة بتهديد الزواحف في آسيا وجنوب شرقي أوروبا.
أعلنت «موهبة» ترشيح 45 مشروعاً علمياً لتمثيل السعودية في «آيسف 2024»، وذلك بعد فوزها في «الأولمبياد الوطني للإبداع العلمي».
خصائص الشخصية الجشعة تساهم في حدوث اضطرابات عاطفية ونفسية.
كرّم الشيخ محمد بن ئزين بالدورة الأولى من جوائز مبادرة «نوابغ العرب».
لم تشترك بعد
انشئ حساباً خاصاً بك لتحصل على أخبار مخصصة لك ولتتمتع بخاصية حفظ المقالات وتتلقى نشراتنا البريدية المتنوعة
