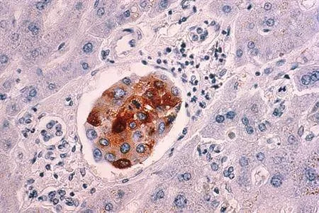
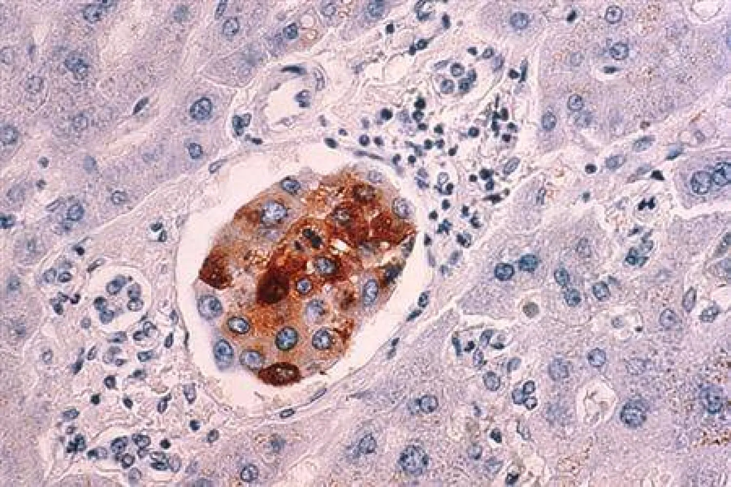
توصل علماء لكشف طبي علمي كبير يتمثل باختراع طريقة لتفجير «البوابات» المؤدية إلى قلب الأورام السرطانية وفتحها أمام العلاج الدوائي. إذ تعمل الاستراتيجية الجديدة عن طريق إطلاق ما يسمى بـ«قنبلة موقوتة» على الخلايا التي تبطن الأوعية الدموية المرتبطة بالورم. حيث تتحكم هذه الأوعية في الوصول إلى أنسجة الورم، وحتى يتم اختراقها، لا تستطيع الخلايا المناعية الدخول بسهولة إلى الورم لمحاربته.
وتعتبر القنبلة الموقوتة الموجودة على الخلايا هذه مستقبل «الموت»، ويسمى Fas (أو CD95)؛ فعندما يتم تنشيطه بواسطة الجسم المضاد المناسب، فإنه يؤدي إلى الموت المبرمج للخلية.
وفي هذا يقول العلماء بجامعة كاليفورنيا ديفيس (UCD) وجامعة إنديانا، «إنه حتى وقت قريب، كان عقار Fas مقيما بأقل من قيمته الحقيقية في العلاج المناعي للسرطان».
وفي التجارب الأخيرة التي استخدمت نماذج الفئران وخطوط الخلايا البشرية، تمكن العلماء في كلية دبلن الجامعية أخيرا من تحديد أجسام مضادة محددة تؤدي بشكل فعال إلى الانهيار الذاتي عند ربطها بمستقبلات Fas؛ وذلك وفق ما نقل موقع «ساينس إليرت» عن مجلة «Cell Death & Differentiation» العلمية الطبية.
وفي هذا الاطار، فان الجسم المضاد الذي يرتبط بجزء محدد من مستقبل الموت يمثل مفتاح قتل الخلية. وانه بمجرد فتح البوابة المناعية هذه، يمكن لعلاجات السرطان الأخرى، مثل CAR-T، الوصول إلى المزيد من أهدافها، والتي غالبا ما تكون مجمعة معا ومخفية داخل الورم.
جدير بالذكر، يعمل علاج CAR-T عن طريق برمجة خلايا الدم البيضاء الخاصة بالمريض، والتي تسمى الخلايا التائية، للارتباط بأنواع معينة من الخلايا السرطانية ومهاجمتها. لكن، تمت الموافقة على CAR-T فقط لعلاج سرطانات الدم، حيث فشل في توفير نجاح ثابت ضد الأورام الصلبة.
وفي التجارب الأخيرة، طور العلماء اثنين من الأجسام المضادة المهندسة التي كانت «فعالة للغاية» في الارتباط بمستقبلات Fas والتسبب في انفجار الخلايا ذاتيا. وكان هذا عمليا في نماذج سرطان المبيض والعديد من خطوط الخلايا السرطانية الأخرى التي تم اختبارها في المختبر. لذا ، إذا أمكن هندسة خلايا CAR-T يوما ما لاستهداف أجزاء المستقبلات هذه في الخلايا المتجاورة أيضا فقد يكون العلاج أكثر فعالية ضد الأورام.
