«خلايا مناعية» أهداف محتملة لعلاج السرطان !

«خلايا مناعية» أهداف محتملة لعلاج السرطان !
TT

«خلايا مناعية» أهداف محتملة لعلاج السرطان !

«خلايا مناعية» أهداف محتملة لعلاج السرطان !

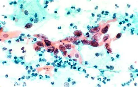
تمكن علماء صينون وسنغافوريون من تحديد نوع من الخلايا المناعية العامة التي يمكن أن تساعد بنمو السرطان؛ الأمر الذي قد يجعل من المفيد استهدافها كعلاج محتمل للمرض.

ووفقاً لنتائج دراسة نُشرت بمجلة «العلوم» يوم (الجمعة) الماضي «ثبُت للعلماء أن العدلات تدعم نمو الورم، علما أنها تعد أكثر مجموعات خلايا الدم البيضاء وفرة في الجسم وتعمل كأول المستجيبين للعدوى والإصابة، وغالباً ما تتحشد حول الأورام».

ومن خلال تحليل نمط العدلات عند فئران مصابة بسرطان البنكرياس، لاحظ الباحثون من مستشفى رنجي التابع لمعهد الطب بجامعة شانغهاي جياوتونغ وشبكة سنغافورة لعلم المناعة «ان العدلات تتحول عند تسللها للورم إلى مجموعة فرعية من الخلايا طويلة العمر تسمى تي 3. وتتحول هذه الخلايا لخلايا خائنة للجسم من خلال تعزيز تنمية أوعية دموية جديدة تساعد على بقاء الأورام في المناطق ذات المستوى المنخفض من الأكسجين والمغذيات المحدودة». وبناء على ذلك، خلصت الدراسة إلى إمكانية استنفاد هذه الخلايا أو إضعاف قدرتها على العمل لكبح نمو الورم. وذلك وفق ما نشرت وكالة أنباء «شينخوا» الصينية.

ومن أجل المزيد من التوضيح، قال البروفيسور بجامعة بكين الدكتور تشانغ تسه مين غير المشارك في الدراسة «يمكن استخدام هذا الاكتشاف لتطوير استراتيجيات علاج مناعي تستهدف العدلات؛ بحيث تقدر على منع تأثيراتها لتعزيز نمو الأورام، فيما يتم استعادة وظائفها المناعية الأساسية من خلال التدخل في عملية إعادة البرمجة المرضية».


مقالات ذات صلة

حين تسمع الأسنان صوتها

علوم حين تسمع الأسنان صوتها

حين تسمع الأسنان صوتها

في عيادة الأسنان، لطالما سبقت الأذنُ الأشعة: نقرة خفيفة على سطح السن، إصغاء قصير، ثم حكم سريري يتكوّن في لحظة.

د. عميد خالد عبد الحميد (لندن)
يوميات الشرق وسائل التواصل تجذب الشباب لاستخدام منشطات بناء العضلات (جامعة هارفارد)

هوس «العضلات المثالية» على الإنترنت يجرُّ الشباب نحو المنشطات

كشفت دراسة كندية حديثة عن وجود علاقة مقلقة بين الوقت الذي يقضيه الشباب على وسائل التواصل الاجتماعي، وزيادة رغبتهم في استخدام منشطات بناء العضلات.

«الشرق الأوسط» (القاهرة)
صحتك حبوب الأشواغاندا (بيكسباي)

كيف يؤثر تناول الميلاتونين والأشواغاندا معاً على النوم والتوتر؟

يلجأ كثيرون إلى مكملات الميلاتونين لتحسين النوم، بينما تُستخدم الأشواغاندا بوصفها خياراً عشبياً شائعاً لتخفيف التوتر والقلق... لكن ماذا يحدث عند تناولهما معاً؟

«الشرق الأوسط» (لندن)
يوميات الشرق الإفطار على التمر يُعد تقليداً شائعاً ومفيداً (جامعة بيرمنغهام)

كيف تحافظ على اليقظة والنشاط في رمضان؟

مع حلول شهر رمضان، يواجه كثير من الصائمين تحدياً في الحفاظ على اليقظة الذهنية والتركيز طوال ساعات النهار الطويلة.

«الشرق الأوسط» (القاهرة )
صحتك تنويع التمارين الرياضية قد يكون الطريقة المثلى لإطالة العمر (رويترز)

تنويع التمارين الرياضية... مفتاحك لحياة أطول وصحة أفضل

كشفت دراسة جديدة عن أن تنويع التمارين الرياضية بدلاً من الاقتصار على النوع نفسه يومياً قد يكون الطريقة المثلى لإطالة العمر.

«الشرق الأوسط» (نيويورك)

حقن إنقاص الوزن... هل تُخفي حالات صحية قاتلة؟

علب حقن لإنقاص الوزن (رويترز)
علب حقن لإنقاص الوزن (رويترز)
TT

حقن إنقاص الوزن... هل تُخفي حالات صحية قاتلة؟

علب حقن لإنقاص الوزن (رويترز)
علب حقن لإنقاص الوزن (رويترز)

يُعدّ الإقبال الكبير على حقن إنقاص الوزن «ويغوفي» و«مونجارو» من أبرز الظواهر الطبية في عصرنا؛ إذ تشير التقديرات إلى أنّ نحو 1.6 مليون شخص في بريطانيا استخدموها العام الماضي، وهي نسبة كبيرة.

ووفق تقرير نشرته صحيفة «التلغراف»، يمكن لهذه الأدوية بالفعل أن تكون «تحوّلية»، فخسارة ما بين 13 و19 كيلوغراماً من الوزن خلال بضعة أشهر تُعدّ هدفاً مرغوباً لدى كثيرين، ويعتبر البعض أنها تستحق تحمّل الآثار الجانبية الهضمية الشائعة المرتبطة بها، مثل آلام المعدة والغثيان والإمساك والإسهال.

غير أنّ شيوع هذه الآثار الجانبية قد يكون مضلِّلاً؛ إذ قد يخفي ثلاث حالات قد تكون خطيرة. ففي مقال حديث، يصف الطبيب في إدنبرة حسن جعفربوي حالتَي «مريضين كانا يتمتعان بصحة جيدة سابقاً» عانيا أثناء استخدام «مونجارو» من آلام شديدة في المعدة ونزف شرجي. وأظهر تنظير القولون وجود اضطرابات تدلّ على ضعف تدفّق الدم إلى بطانة القولون (التهاب القولون الإقفاري). وتبيّن أنّ «مونجارو» هو السبب المؤكّد؛ إذ اختفت الأعراض سريعاً بعد إيقاف الدواء.

كذلك حذّر أطباء أورام في كلية الطب بجامعة هارفارد من تشابه هذه الآثار مع العلامات المبكرة لسرطان الأمعاء. وكتبوا: «صادفنا عدة مرضى نُسبت أعراضهم الهضمية إلى حقن إنقاص الوزن لعدة أشهر قبل أن يتبيّن السبب الحقيقي»، مضيفين أنّ «هناك حاجة إلى إرشادات أوضح حول متى ينبغي أن تدفع هذه الأعراض إلى إجراء فحوص إضافية».

أما الحالة الثالثة، التي سلّطت وكالة تنظيم الأدوية الضوء عليها قبل أسبوعين، فهي التهاب البنكرياس الحادّ، الذي يتميّز بغثيان مستمر وآلام شديدة في البطن تمتد إلى الظهر. وأشارت الوكالة إلى أنّ «الخطر منخفض»، لكن تسجيل أكثر من ألف حالة يعني أنّه ليس منخفضاً إلى هذا الحد، مؤكدةً أهمية أن يكون المرضى على دراية بالأعراض المرتبطة به، وأن يظلّوا متيقّظين لها.

لا توجد بالطبع طريقة سهلة للتأكّد مما إذا كانت هذه الأعراض الهضمية ناجمة عن سببٍ آخر أكثر خطورة، لكنّها عموماً تميل إلى التراجع مع مرور الوقت، فإذا لم يحدث ذلك، أو تغيّرت طبيعتها أو ازدادت سوءاً؛ فمن الحكمة طلبُ عنايةٍ طبية عاجلة.

تعافٍ «معجِز»... أم تشخيص خاطئ؟

القصص العرضية عن تعافٍ يبدو معجزاً من مرضٍ قاتل، رغم ما تبعثه من أمل تكون في الغالب نتيجة تشخيصٍ خاطئ. فقد حدث ذلك لمُسنّة تدهورت حالتها الذهنية سريعاً، وتبيّن بعد الفحوص أنّ السبب عدة نقائل دماغية صغيرة. وقيل حينها إنّه «لا شيء يمكن فعله»، فاستُدعي الأقارب والأصدقاء من أماكن بعيدة لتوديعها، لكنها استعادت عافيتها تدريجياً خلال الأشهر التالية. والخلاصة أنّ «الأورام» الدماغية كانت على الأرجح جلطاتٍ صغيرة أو احتشاءات قد تتحسّن مع الوقت.

وقد يفسّر هذا أيضاً ما يُنسب إلى بعض «العلاجات البديلة» الغريبة للسرطان مثل زعانف القرش أو الحقن الشرجية بالقهوة. وكذلك حال طبيب أسرة اتّبع حميةً ماكروبيوتيكية بعد إبلاغه بإصابته بورمٍ غير قابل للشفاء في البنكرياس. فبعد شهرين من نظامٍ صارم قائم على البقول والعدس والخضراوات غير المطهية (ومع كثيرٍ من الغازات)، خفّت آلام بطنه وبدأ يزداد وزناً. وأظهر فحصٌ لاحق أنّ «السرطان» تقلّص فعلاً، غير أنّ التدقيق رجّح أنّه كان على الأرجح كيساً حميداً ناجماً عن التهابٍ مزمن.

ومع ذلك، وفي حالات نادرة جداً - بنحو حالة واحدة من كل مائة ألف - قد تتراجع بعض السرطانات تلقائياً. ومن ذلك حالة امرأة في الثالثة والعشرين أُصيبت بورم ميلانومي خبيث سريع الانتشار، ورفضت إنهاء حملها عندما اكتُشف المرض. وقد أنجبت طفلاً سليماً، ثم رُزقت بطفلين آخرين، قبل أن تفارق الحياة بعد نحو عشر سنوات من تشخيصها الأول.


الوجبات السكرية ليلاً… كيف تؤثّر في ضغط الدم؟

الدراسات تشير إلى أنّ من يعانون سوء النوم يكون ضغط الدم لديهم أعلى ليلاً (أرشيفية - رويترز)
الدراسات تشير إلى أنّ من يعانون سوء النوم يكون ضغط الدم لديهم أعلى ليلاً (أرشيفية - رويترز)
TT

الوجبات السكرية ليلاً… كيف تؤثّر في ضغط الدم؟

الدراسات تشير إلى أنّ من يعانون سوء النوم يكون ضغط الدم لديهم أعلى ليلاً (أرشيفية - رويترز)
الدراسات تشير إلى أنّ من يعانون سوء النوم يكون ضغط الدم لديهم أعلى ليلاً (أرشيفية - رويترز)

قد يؤدّي تناول السكر مباشرةً قبل النوم إلى ارتفاع ضغط الدم، خصوصاً إذا كان من السكريات المضافة (وليس السكريات الطبيعية الموجودة في أطعمة صحية مثل الفاكهة)، وفق تقرير أورده موقع «verywellhealth».

ورغم أنّ وجبة خفيفة واحدة قبل النوم لن تُحدِث فرقاً كبيراً في ضبط ضغط الدم، فإنّ الاعتياد على تناول وجبات سكرية ليلاً قد تكون له آثار أطول أمداً. وفي ما يلي أبرز الطرق التي قد يؤثّر بها السكر قبل النوم في ضغط الدم:

اضطرابات في الأيض

عند تناول وجبات عالية السكر قبل النوم، يكسّر الجسم الكربوهيدرات سريعاً إلى غلوكوز، فيفرز البنكرياس الإنسولين لنقل السكر من الدم إلى الخلايا.

- تعطيل الأيض الليلي: ارتفاع الإنسولين يُبقي الجسم في «وضع التغذية» بدلاً من الانتقال إلى عمليات الاستشفاء الأيضية التي تحدث عادة أثناء النوم.

- تأثير في استجابة ضغط الدم: المستويات المرتفعة من الإنسولين تجعل الكليتين تحتفظان بمزيد من الصوديوم، ما يزيد حجم الدم والضغط، كما ينشّط الجهاز العصبي الودّي (استجابة الكرّ أو الفرّ)، فيرفع نبض القلب ويضيّق الأوعية.

- خطر مقاومة الإنسولين على المدى الطويل: التكرار المزمن لارتفاع الإنسولين بسبب السكر الليلي قد يساهم في مقاومة الإنسولين، المرتبطة بقوة بارتفاع ضغط الدم.

قد يربك أنماط النوم

تشير دراسات إلى أنّ من يعانون سوء النوم يكون ضغط الدم لديهم أعلى ليلاً وتزداد لديهم مخاطر الإصابة بارتفاع الضغط.

- السكر يفسد النوم: دفعة الطاقة السريعة من وجبة سكرية ليلاً قد تجعل الحصول على نوم منتظم وعميق أكثر صعوبة.

- تحسين النوم يساعد الضغط: الاستغناء عن الوجبات السكرية قبل النوم قد يكون تدخلاً بسيطاً لتحسين جودة النوم والمساعدة في ضبط الضغط.

قد يضرّ بالأوعية الدموية

عندما تكون الأوعية سليمة، تنتج أكسيد النيتريك الذي يساعدها على التوسّع والاسترخاء وتسهيل تدفّق الدم والحفاظ على ضغط مستقر.

- السكر يثبّط إنتاج أكسيد النيتريك: الفركتوز قد يرفع مستوى حمض اليوريك في الدم، ما يعيق إنتاج أكسيد النيتريك ويرفع الضغط.

- نقص أكسيد النيتريك يزيد خطر القلب: مع الوقت قد يؤدّي ارتفاع حمض اليوريك إلى نقص مزمن في أكسيد النيتريك، ما يسهم في الالتهاب وأمراض القلب والأوعية.

زيادة الوزن مع الوقت

إن الاعتياد على تناول وجبات سكرية قبل النوم قد يهيّئ بيئة تؤدي إلى زيادة غير مرغوبة في الوزن، ما قد يؤثر في ضبط ضغط الدم.

- السعرات الزائدة تُخزَّن دهوناً: السعرات الإضافية قبل النوم، خصوصاً من السكريات البسيطة، تتحوّل بسهولة أكبر إلى دهون وتُخزَّن، ولا سيما حول منطقة البطن.

- الدهون الحشوية تؤثّر في الضغط: تراكم دهون البطن يفرز مركّبات التهابية وهرمونات تتداخل مباشرة مع تنظيم ضغط الدم.

- زيادة الوزن تُجهد القلب: الجسم الأكبر يحتاج إلى مزيد من الأوعية الدموية لإمداد الأنسجة بالأكسجين، ما يزيد عبء القلب ويرفع الضغط.

السمنة عامل خطر: ترتبط السمنة بقوة بمقاومة الإنسولين، التي تؤثر بدورها في التحكم بضغط الدم.

قد يزيد الحساسية للملح

تشير بعض الأبحاث إلى أنّ تناول السكر قد يزيد حساسية الجسم للملح.

- تعزيز تأثير الصوديوم: تناول وجبات سكرية ليلاً بانتظام قد يضخّم أثر الصوديوم المتناول في أوقات أخرى، ما قد يؤثر في تنظيم ضغط الدم لدى بعض الأشخاص.

بدائل أفضل لوجبة قبل النوم لصحة ضغط الدم

للحدّ من السكريات المضافة ليلاً، يمكن اللجوء إلى خيارات منخفضة السكر. أبرزها: زبادي يوناني مع قليل من التوت والبذور، حفنة صغيرة من المكسرات غير المملّحة (كالكاجو أو اللوز أو الجوز)، تفاحة مع ملعقتين من زبدة الفول السوداني، جبن قريش مع شرائح خيار، كوب شوفان سادة مع قرفة، حمّص مع خضار نيئة مثل الجزر الصغير أو الفلفل، فشار محضّر بالهواء مع بذور اليقطين، بيضة مسلوقة مع إدامامي.

حتى بكميات صغيرة، تجمع هذه الخيارات بين الألياف والبروتين والدهون الصحية، ما يساعد على كبح الجوع قبل النوم دون إحداث تأثيرات أيضية كبيرة قد تفسد النوم أو ترفع ضغط الدم.


مكمّلات يجب أن يحذر منها مرضى السكري… إليكم أبرزها

يمكن أن تؤثّر بعض المكملات في مستويات سكر الدم أو تتفاعل مع أدوية أخرى (أرشيفية - رويترز)
يمكن أن تؤثّر بعض المكملات في مستويات سكر الدم أو تتفاعل مع أدوية أخرى (أرشيفية - رويترز)
TT

مكمّلات يجب أن يحذر منها مرضى السكري… إليكم أبرزها

يمكن أن تؤثّر بعض المكملات في مستويات سكر الدم أو تتفاعل مع أدوية أخرى (أرشيفية - رويترز)
يمكن أن تؤثّر بعض المكملات في مستويات سكر الدم أو تتفاعل مع أدوية أخرى (أرشيفية - رويترز)

تُظهر بعض الاستطلاعات أنّ نحو 75 في المائة من البالغين في الولايات المتحدة استخدموا مكمّلات غذائية، فيما تشير بيانات أخرى إلى أنّ 58 في المائة استخدموا أحدها خلال الثلاثين يوماً الماضية - لكن خبراء يقولون إنّ بعض الفئات ينبغي أن تتوخّى الحذر.

ووفق تقرير نشرته شبكة «فوكس نيوز»، تتوافر أنواع كثيرة من المكمّلات، بما في ذلك الفيتامينات والمعادن والأعشاب والأحماض الأمينية والبروبيوتيك، وهي مصمَّمة لسدّ النقص الغذائي ودعم الصحة العامة. ويستهدف بعضها وظائف محدّدة، مثل دعم المناعة وتعافي العضلات وصحة العظام، وفق مصادر طبية عدّة.

وعلى خلاف الأدوية الموصوفة طبياً وتلك المتاحة من دون وصفة، لا تحتاج المكمّلات عادةً إلى موافقة «إدارة الغذاء والدواء الأميركية (FDA)» قبل طرحها في الأسواق، إلا أنّها تنظّمها، ويمكنها اتخاذ إجراءات ضد المنتجات غير الآمنة أو المضلِّلة في وسمها.

بالنسبة للمصابين بالسكري، قد تشكّل المكمّلات التالية مخاطر صحية خطيرة، إذ يمكن أن تؤثّر في مستويات سكر الدم أو تتفاعل مع الأدوية، وفق المعاهد الوطنية للصحة في الولايات المتحدة.

إليكم لائحة بالمكمّلات الغذائية التي ينبغي لمرضى السكري الحذر عند تناولها:

نبتة «سانت جون» (St. John’s Wort)

تقول اختصاصية التغذية دون مينينغ إنّ على المصابين بالسكري تجنّب تناول مكمّل نبتة «سانت جون».

وتُسوَّق هذه العشبة أساساً بوصفها علاجاً طبيعياً للاكتئاب الخفيف إلى المتوسط، وقد تُستخدم أيضاً للقلق ومشكلات النوم أو أعراض سنّ اليأس ومتلازمة ما قبل الحيض.

وأضافت مينينغ في حديثها إلى «فوكس نيوز»: «يمكن لهذا العلاج العشبي أن يتداخل مع كثير من أدوية السكري عبر التأثير في طريقة تكسيرها داخل الجسم، ما قد يجعل الأدوية أقل فاعلية ويصعّب ضبط مستويات سكر الدم».

«الكروميوم»

أشارت مينينغ إلى أنّ مكمّل «الكروميوم» يُسوَّق كثيراً لقدرته على تحسين تنظيم سكر الدم لدى المصابين بالسكري من النوع الثاني، إلا أنّ الأدلة على ذلك محدودة، كما أنّ نتائج الأبحاث «متباينة».

وحذّرت قائلةً إن «تناول هذا المكمّل مع الإنسولين أو أدوية السكري الفموية قد يزيد خطر انخفاض سكر الدم». ووفق موقع «هيلثلاين»، قد تؤدي هذه الحالة إلى زيادة خطر الدوار والتعب والإغماء.

مكمّلات القرع المُرّ

أشارت مينينغ إلى أنّ مكمّلات القرع المُرّ تُؤخذ غالباً للمساعدة في خفض مستويات سكر الدم لدى المصابين بالسكري. وقالت إنها «تحتوي على مركّبات مثل (بوليبيبتيد - P) قد تعمل بطريقة شبيهة بالإنسولين، لذلك فإن تناولها مع أدوية السكري قد يزيد خطر انخفاض سكر الدم».

النياسين (فيتامين B3)

يُستخدم هذا المكمّل أحياناً للمساعدة في ضبط مستويات الكوليسترول، لكنه لدى المصابين بالسكري قد يرفع أيضاً مستويات سكر الدم؛ ما يزيد خطر فرط سكر الدم.

وقالت اختصاصية التغذية ميشيل روثنشتاين: «أنصح بالحذر من استخدام مكمّلات النياسين بجرعات مرتفعة، لأنها قد ترفع سكر الدم بشكل ملحوظ وتجعل من الصعب الحفاظ على مستوى الهيموغلوبين السكري (A1c) ضمن النطاق الأمثل».

«الجينسنغ»

ارتبط «الجينسنغ» الآسيوي بزيادة الطاقة والتركيز ودعم صحة الجهاز المناعي، كما يحتوي على مضادات أكسدة قد توفّر حماية للخلايا، وفق «كليفلاند كلينك». ورغم ارتباطه أيضاً بتحسُّن بعض المؤشرات القلبية - الأيضية لدى المصابين بمقدمات السكري والسكري، تشير بعض الأدلة إلى أنّه قد يُخفّض سكر الدم عند تناوله مع أدوية السكري.

«بيتا-كاروتين» (β-carotene)

يُستخدم هذا المكمّل أساساً بوصفه مضاد أكسدة ومصدراً لفيتامين A لدعم الرؤية ووظائف المناعة وصحة العين والجلد. غير أنّ «جمعية السكري الأميركية» لا توصي بتناول مكملات «بيتا - كاروتين» لمرضى السكري، بسبب ارتباطها بزيادة خطر سرطان الرئة والوفيات القلبية الوعائية، بحسب اختصاصي التغذية، جوردان هيل.

القرفة بجرعات مرتفعة

تُروَّج القرفة كثيراً بوصفها مكمِّلاً للمساعدة في ضبط السكري وإنقاص الوزن، إذ تشير بعض الأبحاث إلى أنّها قد تساعد على خفض مستويات سكر الدم وتقليل مقاومة الإنسولين. غير أنّ تناول كميات كبيرة من القرفة قد يعزّز تأثير أدوية السكري ويؤدي إلى انخفاضٍ مفرط في مستويات سكر الدم، ما قد يسبّب هبوط السكر، بحسب موقع «هيلثلاين».

«الألوفيرا» (الصبّار)

يُروَّج لتناول «الألوفيرا» فموياً للمساعدة في السكري وفقدان الوزن وأمراض الأمعاء الالتهابية. غير أنّ المعاهد الوطنية للصحة تشير إلى أنّ تناوله مع أدوية السكري قد يسبّب انخفاض سكر الدم ويزيد خطر الهبوط، كما قد يسبّب آثاراً جانبية في الجهاز الهضمي.

تشير معايير الرعاية الخاصة بالسكري الصادرة عن «الجمعية الأميركية للسكري» إلى أنّه «في غياب نقصٍ فعلي، لا توجد فوائد من المكمّلات العشبية أو غير العشبية (أي الفيتامينات أو المعادن) لمرضى السكري».

كما تنصح الجمعية الأميركية لأطباء الغدد الصماء السريريين بالحذر من جميع المكمّلات الغذائية غير المنظَّمة بسبب تفاوت تركيبتها وجودتها واحتمال تسبّبها بأضرار.

ويوصي الخبراء بالتحدّث إلى الطبيب قبل البدء بأي مكمّل لمعرفة تأثيره المحتمل في مستويات سكر الدم أو الأدوية أو إدارة السكري بشكل عام.