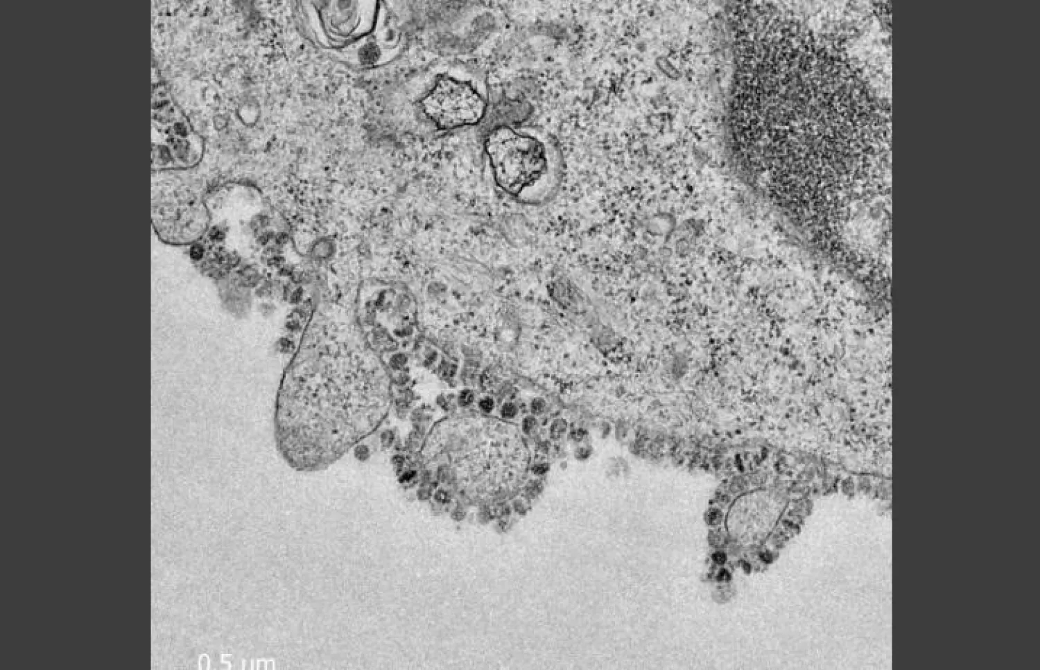
نشر علماء بجامعة هونغ كونغ، أمس (الجمعة)، صوراً مكبرة لفيروس «كورونا» الجديد الذي أثار حالة طوارئ صحية عالمية.
وتُظهِر صورة مجهرية إلكترونية دقيقة جزءاً من خلية مصابة بـ«كورونا»، بينما يطلق سطحها جزيئات من الفيروس، بحسب ما نشرته وكالة «بلومبرغ».
وقال جون نيكولز، وهو أستاذ في علم الأمراض (باثولوجي) في الجامعة، إن كل خلية مصابة تنتج الآلاف من جزيئات الفيروسات المعدية الجديدة التي يمكن أن تستمر في إصابة خلايا أخرى.
ويدرس الباحثون عينات في فترات زمنية مختلفة لفهم كيف يتكاثر فيروس «كورونا» الجديد الذي أطلق عليه اسم «2019 - إن - كوف» مقارنة بفيروسات أخرى من الفصيلة نفسها.
وأوضح نيكولز أن الفيروسات ذات الصلة التي تسببت في متلازمة الجهاز التنفسي الحادة الوخيمة (السارس) ومتلازمة الجهاز التنفسي في الشرق الأوسط قد تمت دراستها على نطاق أوسع.
وارتفع عدد حالات الوفيات الناجمة عن الإصابة بفيروس «كورونا» الجديد في الصين ليصل إلى 259 حالة وفاة، فيما قفز عدد المصابين بالفيروس إلى 11 ألفاً و791 مصاباً، حسبما أفاد به مسؤولون صينيون، اليوم (السبت)، وفقاً لتقرير نشرته «وكالة الأنباء الألمانية».
وقال مسؤولو الصحة في إقليم هوبي بوسط الصين، وهو بؤرة تفشي فيروس كورونا، إنه تم تسجيل 1347 حالة إصابة جديدة في الإقليم بمفرده، ليرتفع العدد الإجمالي لحالات الإصابة به إلى 7153 حالة.
وقد أغلقت السلطات الصينية مدينة ووهان، التي يبلغ عدد سكانها 11 مليون شخص، وغيرها من المدن.
10:17 دقيقه
«كورونا»... الصورة الأولى لتكاثر خلايا الفيروس القاتل
https://aawsat.com/home/article/2110026/%C2%AB%D9%83%D9%88%D8%B1%D9%88%D9%86%D8%A7%C2%BB-%D8%A7%D9%84%D8%B5%D9%88%D8%B1%D8%A9-%D8%A7%D9%84%D8%A3%D9%88%D9%84%D9%89-%D9%84%D8%AA%D9%83%D8%A7%D8%AB%D8%B1-%D8%AE%D9%84%D8%A7%D9%8A%D8%A7-%D8%A7%D9%84%D9%81%D9%8A%D8%B1%D9%88%D8%B3-%D8%A7%D9%84%D9%82%D8%A7%D8%AA%D9%84
«كورونا»... الصورة الأولى لتكاثر خلايا الفيروس القاتل
صورة مجهرية لفيروس كورونا الجديد ينمو في خلايا ضمن دراسة بجامعة هونغ كونغ (بلومبرغ)
«كورونا»... الصورة الأولى لتكاثر خلايا الفيروس القاتل
صورة مجهرية لفيروس كورونا الجديد ينمو في خلايا ضمن دراسة بجامعة هونغ كونغ (بلومبرغ)
مواضيع
مقالات ذات صلة
لم تشترك بعد
انشئ حساباً خاصاً بك لتحصل على أخبار مخصصة لك ولتتمتع بخاصية حفظ المقالات وتتلقى نشراتنا البريدية المتنوعة















