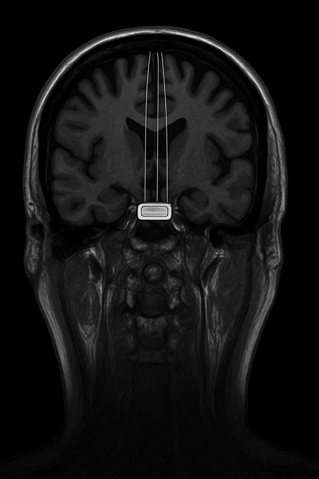
في إنجازٍ يُعيد رسم الحدود بين الفكر والتقنية، أعلنت جامعة «يونيفرسيتي كوليدج لندن (UCL) عن نجاح أول تجربة بريطانية لزراعة شريحة «نيورالينك» (Neuralink) داخل دماغ مريض مصاب بـمرض الأعصاب الحركية، مكّنته من تحريك مؤشر الحاسوب بمجرد التفكير - وذلك بعد ساعاتٍ فقط من العملية الجراحية. ونشرت نتائج التجربة في مجلة الجامعة الرسمية UCL News بتاريخ 28 أكتوبر (تشرين الأول) 2025.
وقد أجريت العملية في مستشفى الأعصاب التابع لـلجامعة بقيادة البروفسور حارث أكرم، وهو جراح بريطاني من أصول عراقية وخريج كلية الطب في الجامعة المستنصرية ببغداد (دفعة 2002)، الذي يُعدّ اليوم من أبرز جراحي الأعصاب في معهد «كوين سكوير أوف نيرولوجي» التابع للجامعة في لندن، ضمن مشروع بحثي يُعرف باسم GB-PRIME، يُعنى بتطوير واجهات الدماغ – الآلة (Brain–Computer Interfaces – BCI) لتأهيل المرضى فاقدي الحركة والنطق.

الدماغ... بوابة المستقبل
في مقابلةٍ خاصة مع «الشرق الأوسط»، تحدّث البروفسور أكرم من مكتبه في لندن قائلاً: «كنا نحلم أن نرى الفكر يتحوّل إلى إشارة كهربائية ثم إلى حركة ملموسة. اليوم لم يعد ذلك حلماً بعيداً. ما فعلناه هو أول خطوة في مسارٍ طويل يعيد للإنسان قدرته على التواصل والتحكم في عالمه حتى عندما يفقد جسده القدرة على الحركة».
ويضيف: «المريض، واسمه بول، يعاني من مرض الأعصاب الحركية (Motor Neuron Disease – MND) الذي يدمّر تدريجياً خلايا الحركة في الجهاز العصبي. لكن بعد زراعة الشريحة، تمكّن من تحريك مؤشر الكمبيوتر بعقله وحده خلال الساعات الأولى من الإفاقة من التخدير... لحظة لا تُنسى لنا جميعاً».
رحلة من بغداد إلى لندن
وُلد البروفسور حارث أكرم في بغداد، وتخرّج في الجامعة المستنصرية قبل أن ينتقل إلى بريطانيا لاستكمال تخصصه في جراحة الأعصاب. وهو يقود اليوم فريقاً بحثياً من أكثر من ثلاثين عالماً ومهندساً في معهد «كوين سكوير اوف نيرولوجي» UCL Queen Square Institute of Neurology، أحد أعرق المراكز الطبية في أوروبا.
يقول أكرم بابتسامة فخر: «أحمل معي جذوري العربية في كل غرفة عمليات أدخلها. العلم لا يعرف الحدود، لكن الهوية تبقى البوصلة التي تذكّرنا لماذا نفعل ما نفعل: من أجل الإنسان».
بين المخاوف والآمال
ورغم الحماس الذي أثارته التجربة، يؤكد أكرم أن الطريق لا يزال طويلاً قبل أن تصبح هذه التقنية علاجاً متاحاً في المستشفيات: «نحن في مرحلة بحثية دقيقة. لا نزال ندرس سلامة الزرعة واستقرارها وتأثيرها على الدماغ على المدى الطويل. لكن النتائج الأولية مشجعة جداً، خصوصاً في استعادة التواصل للمرضى الذين فقدوا النطق أو الحركة».

دور الذكاء الاصطناعي
ويتابع: «الذكاء الاصطناعي يلعب دوراً محورياً في تحليل الإشارات الدماغية وترجمتها إلى أوامر رقمية دقيقة. وفي المستقبل، قد يتمكن المريض من الكتابة أو التحدث عبر التفكير فقط، وهذا بحد ذاته ثورة في تعزيز الكرامة الإنسانية قبل أن يكون إنجازاً تقنياً».
* هل ترى أن هذه التقنيات يمكن أن تُفيد العالم العربي قريباً؟
- نعم، ولكن بشرطين: الاستثمار في البحث العلمي، وتأسيس بيئة أخلاقية وتشريعية تضمن الاستخدام الآمن للتقنيات العصبية (Neurotechnologies). فالعالم العربي يمتلك العقول، ويحتاج فقط إلى الجسور. وأنا أومن أن التعاون مع المراكز الجامعية التي تدعم العلم والبحوث يمكن أن يفتح آفاقاً مذهلة.
لقد آن الأوان أن نشارك في هذه الثورة لا بوصفنا مستهلكين للتقنية، بل بصفتنا صانعين لها، لأن دماغ الإنسان العربي ليس أقل ذكاءً... بل يحتاج إلى من يثق بقدرته على الإبداع.
من خيال الخيال إلى واقع الرحمة الرقمية
بهذا الإنجاز، تفتح لندن فصلاً جديداً في تاريخ الطب العصبي، حيث تلتقي أعماق الدماغ بحدود التقنية، ويتحوّل الصمت إلى لغة جديدة.
لقد أصبح بإمكان الإنسان أن يُعبّر عن ذاته دون صوتٍ أو حركة... فقط بالفكر.
وكما قال البروفسور أكرم في ختام حديثه: «حين تتحرّك الفكرة، يولد الأمل... وما نفعله ليس برمجةً للدماغ، بل تحريرٌ لصوته».

حين تُصبح الفكرة أداة شفاء
إن واجهات الدماغ – الآلة (Brain–Computer Interfaces – BCI) لن تعيد الحركة للمشلولين فحسب، بل الكرامة لمن سُلبت منهم القدرة على الكلام. ومع كل تقدّمٍ رقمي، يزداد السؤال الأخلاقي إلحاحاً: كيف نضمن أن تظلّ التقنية في خدمة الإنسان لا في السيطرة عليه؟ لقد ذكّرنا هذا الإنجاز بأن الرحمة يمكن أن تكون أيضاً تكنولوجيا، وأن العلم حين يُقاد بالعقل والضمير معاً، يصبح شفاءً للفكر قبل الجسد.



