ابتكار «حبة قاتلة للسرطان» لا تؤثر على الخلايا السليمة

خلايا سرطانية (رويترز)
خلايا سرطانية (رويترز)
TT

ابتكار «حبة قاتلة للسرطان» لا تؤثر على الخلايا السليمة

خلايا سرطانية (رويترز)
خلايا سرطانية (رويترز)

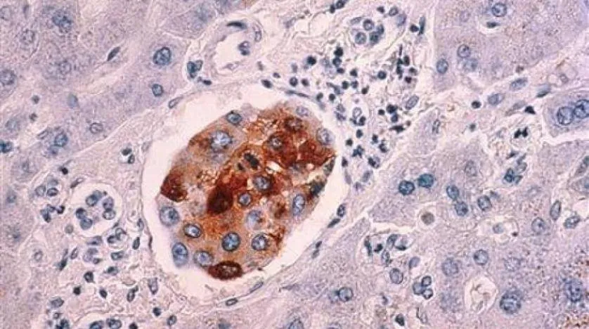
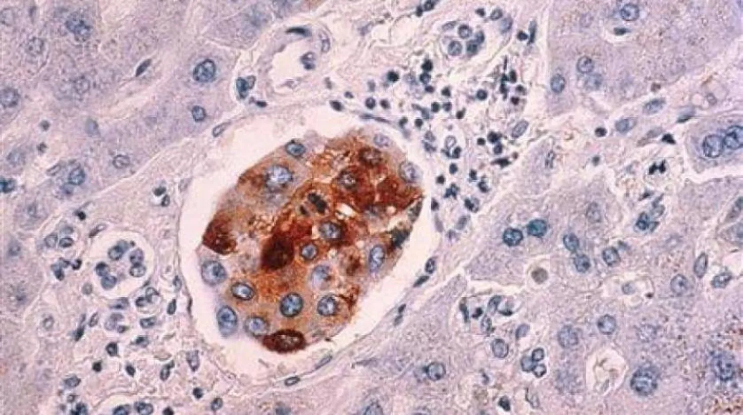
ابتكرت مجموعة من العلماء «حبة قاتلة للسرطان» قد «تقضي» على الأورام تماما تاركة الخلايا السليمة غير متأثرة.

ووفقاً لشبكة «سكاي نيوز» البريطانية، فإن العقار الجديد قيد التطوير منذ 20 عاماً، ويخضع الآن للتجارب ما قبل السريرية في الولايات المتحدة.

ويُعرف الدواء باسم «AOH1996»، وهو يستهدف طفرة سرطانية من بروتين يُسمى مستضد نواة الخلية المتكاثر (PCNA).

ويتم العمل على الدواء من قبل منظمة «City of Hope»، وهي واحدة من أكبر منظمات أبحاث وعلاج السرطان في أميركا.

وأوضحت الدكتورة ليندا مالكاس، التي شاركت في تطوير العقار: «في شكله الأساسي، يعد بروتين مستضد نواة الخلية المتكاثر (حاسما ومهما) لتكرار الحمض النووي وعلاج الأورام. لكنه قد يتحور ويتغير إلى طفرة سرطانية في الخلايا».

وأضافت «يستهدف الدواء شكل بروتين مستضد نواة الخلية المتكاثر في الخلايا السرطانية فقط دون التأثير على الخلايا السليمة»، وذلك عكس العلاج الإشعاعي الذي قد يؤثر سلبا على الخلايا الصحية مع الخلايا السرطانية.

وتابعت قائلة: «يشبه بروتين مستضد نواة الخلية المتكاثر محطة طيران رئيسية تحتوي على عدة بوابات للطائرات. وتشبه حبوبنا القاتلة للسرطان عاصفة ثلجية تغلق باباً رئيسياً لشركات الطيران، وتغلق جميع الرحلات الجوية من وإلى الخارج فقط في الطائرات التي تحمل الخلايا السرطانية».

وأشار العلماء إلى أنهم أجروا تجارب أولية للدواء على حيوانات وخلايا بشرية بالمختبر، وقد جاءت النتائج حتى الآن واعدة، إلا أنهم ما زالوا بحاجة لإجراء تجارب سريرية على البشر.


مقالات ذات صلة

دراسة أسترالية تتوقع انخفاض معدل الإصابة بسرطان الجلد بين الأطفال

صحتك توقعات بانخفاض في خطر الإصابة بسرطان الجلد بعد الانخفاض في عدد الشامات التي يصاب بها الأطفال (بيكسلز)

دراسة أسترالية تتوقع انخفاض معدل الإصابة بسرطان الجلد بين الأطفال

توقعت دراسة أسترالية طويلة الأمد انخفاضاً كبيراً في خطر الإصابة بسرطان الجلد في المستقبل، بعد الانخفاض الكبير في عدد الشامات التي يصاب بها الأطفال.

د. هاني رمزي عوض (القاهرة)
صحتك الخضراوات الصليبية يمكن أن تقلل من خطر الإصابة بسرطان القولون (رويترز)

خضراوات قد تخفض خطر الإصابة بسرطان القولون

يُعدّ سرطان القولون من أكثر أنواع السرطان انتشاراً في العالم، وتشير دراسات حديثة إلى أن النظام الغذائي يلعب دوراً مهماً في تقليل خطر الإصابة به.

«الشرق الأوسط» (لندن)
صحتك النظام الغذائي النباتي يقلل خطر الإصابة ببعض أنواع السرطان (رويترز)

النباتيون أقل عرضة للإصابة بـ5 أنواع من السرطان

كشفت دراسة علمية جديدة عن أن النباتيين أقل عرضة للإصابة بـ5 أنواع من السرطان.

«الشرق الأوسط» (لندن)
صحتك النظام الغذائي الصحي يلعب دوراً مهماً في تقليل خطر الإصابة بسرطان القولون والمستقيم (أ.ف.ب)

4 أطعمة قد تقلل خطر الإصابة بسرطان القولون والمستقيم

يُعد سرطان القولون والمستقيم أحد أكثر السرطانات شيوعاً في العالم، لكن خبراء الصحة يؤكدون أن للنظام الغذائي دوراً مهماً في تقليل خطر الإصابة به.

«الشرق الأوسط» (لندن)
صحتك وصلات الشعر الشائعة الاستخدام قد تصيب النساء بأمراض خطيرة (أ.ب)

احترسي... وصلات الشعر قد تصيبك بالسرطان واضطرابات الهرمونات

كشفت دراسة علمية حديثة عن وجود عشرات المواد الكيميائية السامة في منتجات وصلات الشعر (الإكستنشن) شائعة الاستخدام، بعضها مرتبط بالسرطان واضطرابات الهرمونات.

«الشرق الأوسط» (نيويورك)

كم ساعة يجب أن تنام لتجنب السكري؟

الحصول على قسط كافٍ من النوم قد يساعد في الوقاية من داء السكري (رويترز)
الحصول على قسط كافٍ من النوم قد يساعد في الوقاية من داء السكري (رويترز)
TT

كم ساعة يجب أن تنام لتجنب السكري؟

الحصول على قسط كافٍ من النوم قد يساعد في الوقاية من داء السكري (رويترز)
الحصول على قسط كافٍ من النوم قد يساعد في الوقاية من داء السكري (رويترز)

تشير دراسة جديدة إلى أن الحصول على قسط كافٍ من النوم قد يساعد في الوقاية من داء السكري.

وبحسب شبكة «فوكس نيوز» الأميركية، فقد رصد فريق الدراسة العلاقة بين مدة النوم خلال أيام الأسبوع ومقاومة الإنسولين، وهي عامل خطر رئيسي للإصابة بداء السكري من النوع الثاني.

وشملت هذه الدراسة الرصدية طويلة الأمد، التي أُجريت بين عامي 2009 و2023، نحو 25 ألف مشارك.

ووجد الباحثون أن «المدة المثلى» للنوم، اللازمة لخفض مقاومة الإنسولين، هي نحو 7 ساعات و18 دقيقة.

في المقابل، تبين أن الانحراف الكبير عن هذه المدة - سواء النوم المفرط أو القليل جداً – يرتبط بانخفاض حساسية الإنسولين، واضطرابات في التمثيل الغذائي.

كما أظهرت النتائج أن محاولة تعويض قلة النوم خلال الأسبوع بالنوم لساعات أطول في عطلة نهاية الأسبوع لا يحقق الفائدة المرجوة، بل قد يؤثر سلباً على تنظيم السكر في الدم.

إلا أن الباحثين أقروا بوجود بعض القيود على دراستهم، من بينها أنها كانت قائمة على الملاحظة، ومن ثم فإن النتائج تُظهر ارتباطات فقط بين النوم لمدة معينة وانخفاض خطر السكري، ولا تظهر علاقة سببية مباشرة.

كما أن مدة النوم كانت مُبلغاً عنها ذاتياً، مما قد يُشكل قيداً.

بالإضافة إلى ذلك، لم تقيس الدراسة جودة النوم، التي قد يكون لها دور في النتائج. كما أنها لم تتطرق إلى عوامل أخرى مهمة مثل النظام الغذائي والتوتر والعمل بنظام المناوبات.


نظام غذائي يبطئ شيخوخة الدماغ أكثر من عامين

تركّز حمية «مايند» على تناول أطعمة مفيدة لصحة الدماغ مثل الخضراوات الورقية والفواكه (إ.ب.أ)
تركّز حمية «مايند» على تناول أطعمة مفيدة لصحة الدماغ مثل الخضراوات الورقية والفواكه (إ.ب.أ)
TT

نظام غذائي يبطئ شيخوخة الدماغ أكثر من عامين

تركّز حمية «مايند» على تناول أطعمة مفيدة لصحة الدماغ مثل الخضراوات الورقية والفواكه (إ.ب.أ)
تركّز حمية «مايند» على تناول أطعمة مفيدة لصحة الدماغ مثل الخضراوات الورقية والفواكه (إ.ب.أ)

كشفت دراسة حديثة أن اتباع نظام غذائي يجمع بين أفضل ما في حميتي البحر المتوسط و«داش» قد يبطئ شيخوخة الدماغ بأكثر من عامين، ما يعزز الآمال في الوقاية من التدهور المعرفي وأمراض مثل ألزهايمر.

ويُعرَف هذا النظام باسم حمية «مايند» (MIND)، ويركّز على تناول أطعمة مفيدة لصحة الدماغ، مثل التوت، والخضراوات الورقية، والمكسرات، وزيت الزيتون، والأسماك، مع تقليل الدهون المشبّعة والأطعمة المقلية والحلويات.

ووفق شبكة «سي إن إن» الأميركية، فإن الدراسة، التي تابعت أكثر من 1600 شخص على مدار نحو 12 عاماً، أظهرت أن الالتزام الأكبر بهذه الحمية ارتبط بتباطؤ ملحوظ في تراجع المادة الرمادية بالدماغ، وهي المسؤولة عن الذاكرة والتفكير واتخاذ القرار.

كما أسهمت الحمية في الحد من توسّع البطينات الدماغية، وهي الفراغات المملوءة بالسوائل التي تميل إلى التوسع، مع انكماش أنسجة الدماغ مع التقدم في السن.

ووفق النتائج، فقد ارتبطت كل زيادة بمقدار ثلاث نقاط في الالتزام بنظام «مايند» الغذائي بانخفاض تدهور الدماغ بنسبة 20 في المائة، وهو ما يعادل تأخيراً في شيخوخة الدماغ لمدة عامين ونصف العام.

وأشارت الدراسة إلى أن بعض الأطعمة لعبت دوراً أكبر، حيث أسهم التوت في تقليل تدهور الدماغ، بينما ساعدت الدواجن في الحفاظ على بنيته.

في المقابل، ارتبط تناول الحلويات والأطعمة المقلية بتسارع الشيخوخة الدماغية.

وقال المؤلف الأول للدراسة، هوي تشين، أستاذ علم النفس والعلوم السلوكية في كلية الطب بجامعة تشجيانغ في هانغتشو بالصين: «التوت غني بمضادات الأكسدة والمركبات النشطة بيولوجياً الأخرى، ويمكن للدواجن أن توفر بروتيناً عالي الجودة كجزء من نظام غذائي متوازن».

وأضاف: «على النقيض من ذلك، فإن الإفراط في تناول الحلويات والوجبات السريعة المقلية يؤدي إلى تمدد البطينات الدماغية، وتدهور أكبر في الحصين وهو العضو الدماغي الأكثر ارتباطاً بالذاكرة».

وربط عدد من الدراسات السابقة بين كل من حمية البحر الأبيض المتوسط ​​وحمية «داش» وتحسن التدهور المعرفي وانخفاض خطر الإصابة بمرض ألزهايمر. وتتفق نتائج الدراسة الجديدة مع تلك النتائج السابقة، وتضيف دليلاً إضافياً على أن اتباع حمية «مايند» التي تجمع بين النظامين يقدم فوائد إضافية.

وأشار فريق الدراسة إلى أن هذه النتائج تُعزز الأدلة المتزايدة على أن اتباع نظام غذائي صحي ومتوازن قد يكون أحد أقوى الأسلحة للحفاظ على صحة الدماغ مع التقدم في العمر.


أدوات الذكاء الاصطناعي تسعى للحصول على سجلاتك الصحية

أدوات الذكاء الاصطناعي تسعى للحصول على سجلاتك الصحية
TT

أدوات الذكاء الاصطناعي تسعى للحصول على سجلاتك الصحية

أدوات الذكاء الاصطناعي تسعى للحصول على سجلاتك الصحية

على مدار السنوات القليلة الماضية، أقنعت شركات التكنولوجيا المستخدمين بأن روبوتات الدردشة المدعومة بالذكاء الاصطناعي تتحسن كلما زادت البيانات المُدخلة إليها. لذا فإن الخطوة التالية تمثلت في حث المستخدمين على مشاركة معلوماتهم الأكثر حساسية: سجلاتهم الصحية.

أدوات ذكية جديدة

كشفت «مايكروسوفت» هذا الأسبوع عن أداة تُمكّن المستخدمين من مشاركة سجلاتهم التي لدى مزودي الخدمات الصحية مع روبوت الدردشة الخاص بها «كوبايلوت» (Copilot) ويمكن بعد ذلك دمج هذه السجلات مع البيانات التي يجمعها جهاز اللياقة البدنية الخاص بالمستخدم، مثل ساعة «أبل». وبعد تحليل جميع المعلومات، سيقدم روبوت الدردشة نظرة عامة شاملة على المشكلات الصحية للمستخدم.

يُذكر أن إعلان «مايكروسوفت» جاء على غرار خطوات «أمازون» و«أوبن إيه آي» (OpenAI) و«أنثروبيك» التي بدأت هذا العام باختبار أدوات مماثلة: «Health AI»، و«ChatGPT Health»، و«Claude for Healthcare».

غمار محفوف بالمخاطر

ومن خلال جمع البيانات الصحية وتقديم ملاحظات مباشرة، تخوض الشركات غماراً محفوفاً بالمخاطر؛ خصوصاً أن روبوتات الدردشة المدعومة بالذكاء الاصطناعي تصدّرت عناوين الأخبار، لمساهمتها في إصابة بعض المستخدمين بالذهان والعزلة والعادات غير الصحية.

محاسن ومساوئ

وكان عدد من الأطباء قد ذكروا في مقابلات لهم أن هناك جوانب إيجابية محتملة للرعاية الصحية المدعومة بروبوتات الدردشة، مثل مساعدة الناس على فهم حالتهم الصحية بشكل أفضل، في وقت أصبحت فيه الرعاية الصحية باهظة التكاليف. ولكن مشاركة السجلات الصحية مع شركات التكنولوجيا تُثير كثيراً من مخاطر الخصوصية. ومثل التقنيات السابقة التي جعلت الناس قلقين بشكل مفرط بشأن صحتهم، قد تؤدي روبوتات الدردشة أيضاً إلى زيارات غير ضرورية للطبيب.

تعرفوا على الأدوات الصحية الجديدة

إليكم ما تحتاجون معرفته:

- كيف ستعمل أداة ميكروسوفت؟ على موقع وتطبيق «كوبايلوت» من «مايكروسوفت»، سيتمكن المستخدمون من النقر على تبويب «الصحة»، وإنشاء ملف تعريف من خلال الإجابة عن أسئلة حول أعمارهم وجنسهم. ومن هناك، يمكن للمستخدمين اختيار مشاركة سجلاتهم الصحية وبياناتهم من أجهزة مثل ساعة «أبل»، و«فيتبيت»، وجهاز تتبع النوم «أورا».

يمكن للمستخدمين بعد ذلك توجيه أسئلة أو أعراض إلى برنامج الدردشة الآلي، كأن يقولوا: «أعاني من اضطرابات في النوم»، حينها يقوم البرنامج بتحليل السجلات الصحية وبيانات الأجهزة القابلة للارتداء لاستخلاص ملاحظات، مثل أنماط النوم منذ آخر زيارة للمستشفى. كما يمكن للبرنامج تقديم ملخص شامل للمشكلات الصحية التي تستدعي الانتباه، مثل قلة النوم، وداء السكري، وقلة النشاط البدني.

سيتمكن المستخدمون مبدئياً من تجربة «Copilot Health» مجاناً عند إطلاقه هذا العام. وأعلنت «مايكروسوفت» أنها تخطط لفرض رسوم اشتراك لاستخدام الأداة، ولكنها لم تُفصح عن السعر.

فوائد محتملة

- ما هي الفوائد المحتملة؟ لطالما كانت السجلات الطبية فوضوية ومعقدة بالنسبة للمرضى، نظراً لتشتت المعلومات في قواعد بيانات متعددة تستخدمها جهات تقديم الرعاية الصحية المختلفة. (على سبيل المثال، قد يواجه طبيب الرعاية الأولية صعوبة في تقديم ملاحظات حول إصابة في القدم، إذا كان طبيب القدم المعالج للمريض يستخدم نظام سجلات مختلفاً).

ويمكن لتقنية الذكاء الاصطناعي من «مايكروسوفت» أن تساعد في ربط المعلومات من مختلف مقدمي الرعاية الصحية، بالإضافة إلى بيانات أجهزة اللياقة البدنية الخاصة بالمستخدم.

وقالت «مايكروسوفت» إن الطبيب سيحتاج على الأرجح إلى ساعات لمراجعة جميع السجلات الطبية وبيانات أجهزة اللياقة البدنية يدوياً، للوصول إلى نظرة عامة شاملة عن الحالة الصحية. وأضافت أن «كوبايلوت هيلث» يمكنه القيام بذلك في ثوانٍ.

وسيلة رخيصة بلا تأمين صحي

ومع ارتفاع تكاليف الرعاية الصحية، يتخلى كثير من الأميركيين عن التأمين الصحي. ويمكن أن يكون روبوت الدردشة المدعوم بالذكاء الاصطناعي وسيلة منخفضة التكلفة لمساعدة الناس على الاهتمام بصحتهم بشكل أكبر، والبحث عن معلومات حول الأعراض، على غرار البحث عبر الإنترنت على موقع مثل «ويب إم دي» (WebMD).

مخاطر من القرصنة وخرق الخصوصية

- ما هي المخاطر؟ في السنوات الأخيرة، تعرضت المستشفيات وأنظمة الرعاية الصحية لهجمات إلكترونية. ويقول ماثيو غرين، الأستاذ المشارك في علوم الحاسوب بجامعة «جونز هوبكنز»، إن وضع السجلات الصحية في مكان مركزي يجعل هذه المعلومات هدفاً مغرياً للمجرمين. فقد تكشف البيانات الصحية للضحية عن حالات صحية يرغب في إبقائها سرية. وأضاف: «هناك كم هائل من البيانات القيِّمة في مكان واحد، يمكن لأي شخص الوصول إليه».

وبالمثل، قد تلجأ وكالات إنفاذ القانون التي ترغب في الحصول على السجلات الصحية للأفراد إلى «مايكروسوفت» بدلاً من عدة مزودين، كما يقول ماريو تروخيو، محامي خصوصية البيانات في مؤسسة «الحدود الإلكترونية»، وهي منظمة غير ربحية تُعنى بالحقوق الرقمية. وأضاف أن المرأة التي تسعى للحصول على خدمات الصحة الإنجابية في ولاية تحظر الإجهاض قد تكون أكثر عرضة للخطر.

كما أن قانون قابلية نقل التأمين الصحي والمساءلة (HIPAA) الذي يُلزم مقدمي الرعاية الصحية التقليديين بحماية خصوصية المرضى، لا ينطبق على شركات التكنولوجيا التي تقدم برامج الدردشة الآلية. لذا، يُمكن لهذه الشركات التي لا تُعدّ من مُقدّمي الرعاية الصحية، حتى وإن قدّمت خدمات مُشابهة، أن تفعل ما تشاء بالسجلات الصحية، كاستخدام المعلومات لتدريب أنظمة الذكاء الاصطناعي، أو عرض إعلانات مُرتبطة بالحالات الصحية للمستخدمين.

ضمانات «مايكروسوفت»

وقالت «مايكروسوفت» إن البيانات الصحية للأفراد ستُشفَّر، ولن تُستخدم لتحسين أنظمة الذكاء الاصطناعي أو لعرض إعلانات مُستهدفة. كما أوضحت أنها لا تُتيح لوكالات إنفاذ القانون الوصول إلى بيانات العملاء، إلا استجابة لطلبات قانونية مشروعة.

الوثوق بالنصائح الطبية للأدوات الذكية

- هل يُمكن الوثوق بالنصائح الصحية من روبوتات الدردشة؟ تُؤكد «مايكروسوفت» أن تطبيق «كوبايلوت هيلث» مُصمم لمساعدة الأفراد على فهم حالتهم الصحية والاستعداد للمواعيد الطبية، وليس ليحلّ محلّ خبرة الطبيب. وقد تضمّن بيانها الصحافي تنويهاً بأن روبوت الدردشة «غير مُصمم لتشخيص الأمراض ولا علاجها ولا الوقاية منها».

وقال الدكتور جيريش نادكارني، كبير مسؤولي الذكاء الاصطناعي في نظام «ماونت سيناي» الصحي، إنه من السذاجة الاعتقاد بأن المستخدمين لن يطلبوا من روبوت دردشة لديه إمكانية الوصول إلى جميع سجلاتهم الطبية تشخيصات ونصائح. وأضاف: «بالتأكيد، يمكنك إضافة تنبيه يمنع استخدامه بهذه الطريقة، ولكن الناس سيستخدمونه على هذا النحو، فهذه طبيعة البشر».

دراسات حول صلاحية الأدوات الذكية الصحية

تشير البحوث حتى الآن إلى أن برامج الدردشة الآلية ليست جاهزة بعد لتحمّل هذه المسؤولية.

حللت دراسة نُشرت الشهر الماضي كثيراً من برامج الدردشة الآلية، بما في ذلك تلك التابعة لشركتَي «أوبن إيه آي» و«ميتا»، ووجدت أنها لا تتفوق على البحث عبر الإنترنت في توجيه المستخدمين نحو التشخيص الصحيح، أو مساعدتهم في تحديد الخطوات التالية. كما أن هذه التقنية تنطوي على مخاطر فريدة؛ إذ تُقدم أحياناً معلومات خاطئة، أو تُغير نصائحها جذرياً، بناءً على تغييرات طفيفة في صياغة الأسئلة.

وقد أدت هذه الثغرات بالفعل إلى أخطاء بارزة. على سبيل المثال: احتُجز رجل يبلغ من العمر 60 عاماً أسابيع في وحدة الطب النفسي، بعد أن اقترح عليه برنامج «تشات جي بي تي» تقليل الملح بتناول بروميد الصوديوم بدلاً منه، مما تسبب له في جنون العظمة والهلوسة.

وأعلنت شركة «أوبن إيه آي» أن النسخة الحالية من «تشات جي بي تي» تتفوق بشكل ملحوظ في الإجابة عن الأسئلة الصحية على النموذج الذي تم اختباره في الدراسة، والذي تم إيقاف استخدامه لاحقاً. ولم تستجب شركة «ميتا» لطلب التعليق.

مخاطر الفشل في الحالات الطارئة

تشير بعض البحوث الجديدة إلى أن حتى النماذج المصممة خصيصاً للأسئلة الصحية للمستخدمين، مثل «ChatGPT Health»، تنطوي على مخاطر. فعندما أدخل نادكارني وزملاؤه تفاصيل من حالات طبية افتراضية في النموذج الذي تم إصداره في يناير (كانون الثاني) الماضي، أغفل النموذج حالات طوارئ عالية الخطورة، وفي إحدى الحالات فشل في التوصية بالذهاب إلى قسم الطوارئ لشخص يعاني من فشل تنفسي وشيك.

اختبار «كوبايلوت هيلث»

لم تخضع خدمة «Copilot Health» بعدُ لدراسات من قِبل باحثين مستقلين. وصرَّح رئيس شركة «مايكروسوفت» بأنّ برنامج الدردشة الآلي مُصمم لتجنّب تقديم النصائح الطبية حتى في حال توجيه أسئلة مُحدّدة، وتقديم «التوجيه والدعم» بدلاً من ذلك. فبدلاً من إخبار المستخدمين بأنّهم يُعانون من حالة مُحدّدة، قد يُقدّم البرنامج قائمة بالتشخيصات المُحتملة. أو بدلاً من التوصية بدواء، قد يُقدّم بعض الأسئلة التي يُمكن للمستخدمين طرحها على أطبائهم.

كما ذكرت الشركة أنّها تُطلق «Copilot Health» تدريجياً، وتختبر الميزات الجديدة مع مجموعة صغيرة من المستخدمين في كلّ مرحلة، لضمان بقاء التجربة آمنة وموثوقة.

* شاركت تيدي روزنبلث في الكتابة. خدمة «نيويورك تايمز».